Lunes a Viernes8:00 AM a 8:00 PM
Sabado10:00 AM a 3:00 PM

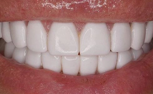
CARILLAS DENTALES

El tratamiento de carillas dentales consiste en la colocación de láminas elaboradas en porcelana o resina sobre la parte frontal de los dientes, para perfeccionar la estética dental mejorando la forma, el color, el tamaño y hasta la alineación de la sonrisa.

Con carillas dentales puedes lograr de manera rápida mejoras visibles como: corregir dientes torcidos, separados, fracturados o desgastados.

BENEFICIOS: Dientes más blancos y luminosos, procedimiento rápido y minimamente invasivo, sonrisa estética y natural, alineación dental sin necesidad de brackets o un tratamiento de ortodoncia.

Carillas Dentales de Resina

Las carillas dentales de resina duran en promedio de 5 a 7 años y representan una alternativa más economica. Son ideales si buscas tu primera experiencia con carillas.

Carillas Dentales de Porcelana

Las carillas dentales de porcelana son láminas muy finas y resistentes que ofrecen una duración de 12 a 15 años, brindando una sonrisa duradera, de aspecto natural, con dientes blancos y luminosos.